Viral .

endometrium çift duvar kalınlığı kaç olmalı

Written by Callum Brown Aug 03, 2022 · 3 min read
endometrium çift duvar kalınlığı kaç olmalı

azimli sıçan duvarı deler tdk ayasofya nın duvarları açık gri duvar boyası dyo azer bülbül duvar kağıdı araba resmi duvar kağıdı askılık duvar atatürk duvar resmi atatürk duvar saati açık bej rengi duvar boyası at resmi duvar kağıdı

Read This Also

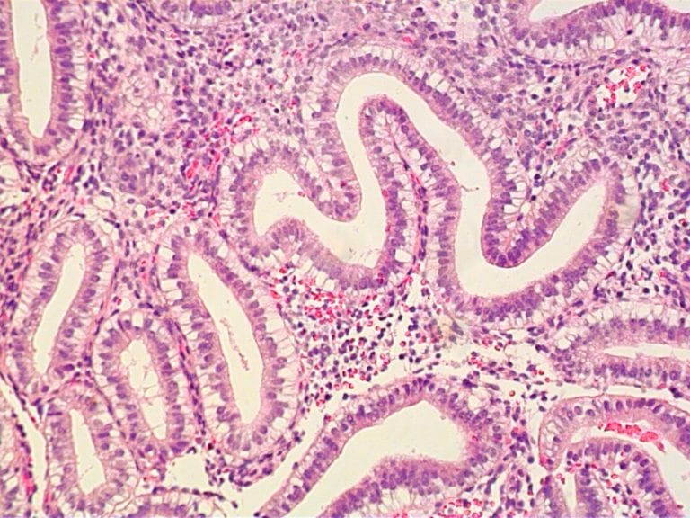
Histological architecture of the endometrium, fallopian tubes (FT) and

Histological architecture of the endometrium, fallopian tubes (FT) and From www.researchgate.net

en korkunç duvar kağıtları e harfi duvar kağıdı ejderha duvar kağıtları elektro gitar duvar askısı erkek çoçuk odası duvar kağıdı modelleri dış mekan duvar aydınlatma elektronik duvar saati english home duvar süsü en güzel duvar kağıtları telefon en komik duvar kağıtları

Pin on Sketches

Pin on Sketches
Source: www.pinterest.co.uk

Endometriosis merupakan penyakit yang diakibatkan pertumbuhan jaringan

Endometriosis merupakan penyakit yang diakibatkan pertumbuhan jaringan
Source: www.pinterest.com

Myovant Sciences Focus Area, Endometriosis

Myovant Sciences Focus Area, Endometriosis
Source: www.myovant.com

Structure of an amoeba proteus — Stock Vector © edesignua 33306929

Structure of an amoeba proteus — Stock Vector © edesignua 33306929
Source: depositphotos.com

Endometriosis. The structure of the pelvic organs. Adenomyosis. The

Endometriosis. The structure of the pelvic organs. Adenomyosis. The
Source: depositphotos.com

ENDOMETRIOSIS ADENOMYOSIS Dr OMAR ALDABBAS ASSISTANT PROF

ENDOMETRIOSIS ADENOMYOSIS Dr OMAR ALDABBAS ASSISTANT PROF
Source: present5.com

Photomicrographs of sections in the endometrium in the late

Photomicrographs of sections in the endometrium in the late
Source: www.researchgate.net

Photomicrographs of the endometrium in the proliferative phase (a, b

Photomicrographs of the endometrium in the proliferative phase (a, b
Source: www.researchgate.net

Normal proliferative endometrium Image

Normal proliferative endometrium Image
Source: radiopaedia.org

Endometrium Thickness For Pregnancy FEMELIFE

Endometrium Thickness For Pregnancy FEMELIFE
Source: femelife.com

Management of thin endometrium in assisted reproduction a clinical

Management of thin endometrium in assisted reproduction a clinical
Source: www.rbmojournal.com

Through thick and thin a pictorial review of the endometrium

Through thick and thin a pictorial review of the endometrium
Source: link.springer.com

Types of endometrial metaplasia in endometrial intraepithelial

Types of endometrial metaplasia in endometrial intraepithelial
Source: www.researchgate.net

Ultrasound Evaluation of Endometrium Obgyn Key

Ultrasound Evaluation of Endometrium Obgyn Key
Source: obgynkey.com

(A) proliferative endometrium; (B) Secretory endometrium; (C) Simple

(A) proliferative endometrium; (B) Secretory endometrium; (C) Simple
Source: www.researchgate.net

Endometrium status during period

Endometrium status during period
Source: www.invitra.com

Endometrial Hyperplasia Classification Empowered Women's Health

Endometrial Hyperplasia Classification Empowered Women�s Health
Source: www.volusonclub.net

IVF Failure Get best solution on IVF at IVF Center Indore

IVF Failure Get best solution on IVF at IVF Center Indore
Source: www.indoreinfertilityclinic.com

proliferative endometrium YouTube

proliferative endometrium YouTube
Source: www.youtube.com

What causes thin endometrium? The Surrogacy Doctor Dr Samit Sekhar

What causes thin endometrium? The Surrogacy Doctor Dr Samit Sekhar
Source: surrogacydoctor.blogspot.com

Endometrium Nedir, Kalınlığı Ne Anlama Gelir? Bahçeci Tüp Bebek

Endometrium Nedir, Kalınlığı Ne Anlama Gelir? Bahçeci Tüp Bebek
Source: bahceci.com

Endometrium In Secretory Phase Photograph by Jose Calvo / Science Photo

Endometrium In Secretory Phase Photograph by Jose Calvo / Science Photo
Source: fineartamerica.com

Myovant Sciences Focus Area, Endometriosis

Myovant Sciences Focus Area, Endometriosis
Source: www.myovant.com

Ultrasound Evaluation of Endometrium Obgyn Key

Ultrasound Evaluation of Endometrium Obgyn Key
Source: obgynkey.com

Proliferative endometrium MyPathologyReport.ca

Proliferative endometrium MyPathologyReport.ca
Source: www.mypathologyreport.ca

The endometrium was granular and thickened; Fig.2. Small whitish

The endometrium was granular and thickened; Fig.2. Small whitish
Source: www.researchgate.net

Uterine Receptivity As a Cause of Sterility

Uterine Receptivity As a Cause of Sterility
Source: www.invitra.com

Tamoxifenassociated Endometrial Changes Radiology Cases

Tamoxifenassociated Endometrial Changes Radiology Cases
Source: radiogyan.com

The surgical specimen. The endometrium appeared normal on gross

The surgical specimen. The endometrium appeared normal on gross
Source: www.researchgate.net

Endometrial Receptivity Analysis ACIMC

Endometrial Receptivity Analysis ACIMC
Source: acimc.org

Why Does a Thin Endometrium Lower Embryo Implantation?

Why Does a Thin Endometrium Lower Embryo Implantation?
Source: www.inviafertility.com

Endometrium Bloody Marvellous

Endometrium Bloody Marvellous
Source: bloody-marvellous.com

Cureus Giant Endometrial Polyp in a Postmenopausal Woman

Cureus Giant Endometrial Polyp in a Postmenopausal Woman
Source: www.cureus.com

Chapter 6 Sonographic Assessment of Endometrial Pathology Obgyn Key

Chapter 6 Sonographic Assessment of Endometrial Pathology Obgyn Key
Source: obgynkey.com

What are the Stages of Endometriosis? (with pictures)

What are the Stages of Endometriosis? (with pictures)
Source: www.wisegeek.com

Histological architecture of the endometrium, fallopian tubes (FT) and

Histological architecture of the endometrium, fallopian tubes (FT) and
Source: www.researchgate.net

Endometriosis merupakan penyakit yang diakibatkan pertumbuhan jaringan

Endometriosis merupakan penyakit yang diakibatkan pertumbuhan jaringan
Source: www.pinterest.com

Pin on Sketches

Pin on Sketches
Source: www.pinterest.co.uk

Read next

ceviz duvar rafı

Aug 05 . 3 min read

ottimo duvar kağıtları

Dec 21 . 3 min read

cocuk duvar kagidi

Nov 15 . 3 min read

seksi duvar kağıtları

Aug 01 . 3 min read

su resimli duvar kağıtları

Aug 22 . 3 min read